Deviandri R*, Rasyid HN, Tiksnadi B and Mulyadi D
Department of Orthopaedics and Traumatology, Indonesia
*Corresponding author: Deviandri R, Department of Orthopaedics and Traumatology, Indonesia
Submission: March 12, 2020; Published: March 17, 2020
Volume1 Issue1March 2020
Background: Muscle injury can be acute or repetitive. It can cause decrease muscle powers. Nowadays, treatment for acute muscle injury is developing rapidly, to shorter time of recovery. We need one modality that effective to fasten muscle healing. Dextrose have proliferant effect by promote growth factor in 12-lipoxygenase pathway. Dextrose 10% have proliferant effect without increase inflammation.
Objective: By using dextrose 10% injection intralesion were hoped fasten muscle healing process in acute muscle injury.
Method: This is experimental comparative research, was done on 20 rabbits that divided into two groups. After All of subject got muscle injury grade 2, The first group was administered with NaCl 0.9% as control, the second group with 10% dextrose injection intralesion. After one week, the subjects were sacrificed, and their gastrocnemius muscle were examined in pathology anatomy laboratory to see the level of myoblast.
Result: There was increased level of myoblast in dextrose 10% group than control. In conclusion, usage 10% dextrose solution fasten muscle healing process in muscle injury grade 2.
Keywords: Dextrose 10%; Muscle injury; Myoblast; Muscle healing; Prolotherapy
Muscle injuries are the most frequent cause of physical incapacity in sports practice. It has been estimated that 30 to 50% of all sports-related injuries are caused by soft-tissue lesions. Muscle injuries can be caused by bruising, stretching, direct impact, punctured wounds, or excessive use in an exercise [1]. Muscle injury is a quite common injury that occured in acute, chronic or recurrent situation and leads to decreased performance. Initial phase of the treatment can be summarized as the “PRICE” protocol: Protect, Rest, Ice, Compression, and Elevation. Physiotherapy can be done by Trans Electrical Nerve Stimulation (TENS) or with a neodymium-YAG laser, followed by muscle exercise gradually. Surgery might be required in certain patients, such as in athletes with large intramuscular hematom, grade III muscle injury where the muscle cannot contract, grade III injuries when the rupture of the muscle more than 50%, and there is persistent pain in more than 6 months [2]. Normal movement usually after 4 weeks. But, the formation of connective tissue from myofibroblast will limit the movement and increase the risk of recurrence tear. This becomes a problem for professionals such as athletes who need a good and faster recovery. Therefore, a variety of methods and therapy modalities are developed to improve muscle injury recovery [3].
Repair of the muscle injury starts with two simultaneous processes that compete: Regeneration of the torn myofibrils and formation of connective scar tissue. Regeneration OS muscle cell was signed with myoblast cell in early phase. Several methods were offered to promote healing process of soft tissue such as prolotherapy. Prolotherapy is a nonsurgical regenerative injection technique that introduces small amounts of an irritant solution to the site of painful and degenerated tendon insertions (entheses), joints, ligaments, and in adjacent joint spaces during several treatment sessions to promote growth of normal cells and tissues. Irritant solutions most often contain dextrose (d-glucose), a natural form of glucose normally found in the body, but may also contain combinations of polidocanol, manganese, zinc, human growth hormone, pumice, ozone, glycerin, or phenol [4]. Dextrose solution increased 12-lipoxygenase pathway (12-LO) on arachidonic acid metabolism which has the effect of angiogenesis and increase the level of growth factors on muscle cell [5].
This study is a comparative experimental study using New Zealand rabbits. The first group which is administered saline solution as control group, the second group which is administered 10% dextrose.
Inclusion criteria were New Zealand rabbits which meets the following requirements:
Exclusion criteria were as follows:
This research was conducted with several stages as follows:
This research was conducted using experimental animals of 20 male New Zealand rabbits which are divided into 2 groups. The first group was treated with saline solution as control group, the second group was treated with 10% dextrose. One week after treatment, samples were taken from the rabbit’s gastrocnemius muscle with 0.5x0.5x0.5cm lesion and immunohistochemical examination using myoD1 reagent was done, and the myoblast distribution was calculated with Histoscore method by scoring the intensity and myoblast cells distribution [6].
Myoblast cell intensity with MyoD1 divided into three scoring [6]:
Myoblast cell distribution was divided into four scoring [6]:
The immunohistochemical examination results were scored and compared between two groups, where the value of the score is based on Hscore scoring system with formula:
Hscore=(intensity+1) x myoblast distribution [6]
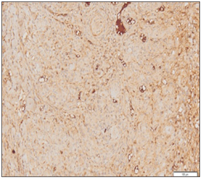
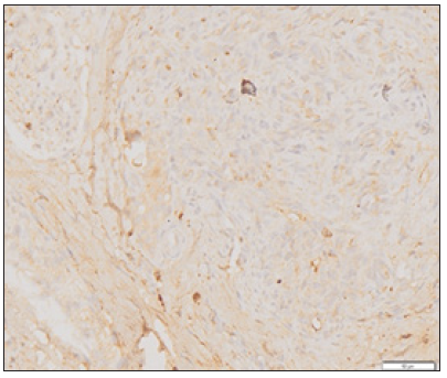
Assessment was given in the form of ordinal scale scores with a total score ranging from 2-16. Figure 1-3 shows a picture of the myoblast cell anatomical pathology binded to the reagent myoD1 at various intensities. Research results for the three groups of rabbits were descriptively shown in the Figure 4. Figure 4 illustrates the scoring of myoblast from muscle healing in rabbits. Based on these data it can be seen that the lowest score in the dextrose group is 8, the highest score is 16 and the mean score is 10.1; lowest score at control group is 2, the highest score is 12 and the mean score is 6.4; Indicating that 10% dextrose group mean score was higher than control group. Then the Mann Whitney test was done to see whether there is significant difference in the number of myoblasts cells in the rabbit’s muscles between the dextrose group and the control group. Based on the statistical calculation, it was obtained that Z value -2,432 with P value 0.015. This statistical analysis showed that the value of P<0.05. Therefore, we can conclude that there are differences in the number of myoblast cells in the rabbit’s muscles in the 10% dextrose group towards the control group.
Figure 1: Picture of myoblast cells that bind MyoD1 on strong intensity.

Figure 2: Picture of myoblast cells that bind MyoD1 at moderate intensity.

Figure 3: Picture of myoblast cells that bind MyoD1 on weak intensity.

Figure 4: Hscore scoring results of myoblast cells distribution in each rabbit.

These results show that administration of intralesional injection of dextrose 10% on the injured muscle is proved effective in muscle healing by increasing the number of myoblast cells in the muscle (p<0.05). Increased number of myoblast cells in the 10% dextrose group proved that dextrose solution has proliferant effect to the soft tissue. Dextrose can provide a stimulant effect to increase the level of growth factor that plays an important role in muscle cell migration and proliferation [4]. The cells will produce growth factors in a few minutes to a few hours when exposed with dextrose in concentrations above 0.6% (the normal cell glucose concentration is 0.1%) [7]. Extracellular hyperglycemic condition will increase 12-lipoxygenase pathway (12-LO) on arachidonic acid metabolism which has the effect of angiogenesis and increasing the level of growth factors on muscle cells [4]. These growth factors are Platelet Derived Growth factors, transforming growth factors beta, Epidermal Growth factors, Basic Fibroblast Growth factors, Insulin Like Growth factors and Connective Tissue Growth factors. All these factors have been identified as the key to stimulate the healing of muscle injuries [8,9].
The advantage used of 10% dextrose solution is it will induce proliferation without an increase in inflammatory reactions, making it suitable to be used in cases of acute muscle injury [7]. Dextrose Prolotherapy is presumed to work by several mechanisms including a direct, an osmotic, and inflammatory growth effect. Dextrose injections below a 10% solution directly stimulate proliferation of cells and tissue without causing a histological inflammatory reaction. When dextrose is injected in greater than 10% solution it is presumed to be causing an osmotic (concentrated) gradient outside of the cells where it is injected. This causes some cells to lose water and lyse with the net effect being an influx of growth factors and inflammatory cells [10,11]. Dextrose is an ideal proliferant because it is water soluble and a normal component of blood chemistry, which can be injected safely into multiple areas and in large quantity. The presumed net result is the deposition of new collagen into injured structures, such as ligaments and tendons [7].
Increasing number of myoblast cells in this study assessed based on scoring system of HScore. Hscore scoring system evaluates two important variables shown in healing of the injured muscle, the intensity and distribution of myoblast cells. Assessment was carried out by a specialist consultant of anatomical pathology to minimize the possibility of bias [12]. The weakness in this study is the difficulties in terms of uniformity of rabbit’s gastrocnemius muscle diameter, so there is a possibility of bias at the time of sampling for immunohistochemical examination.
A. 10% dextrose intralesional injection on injured muscle grade 1 may increase the number of myoblast cells.
B. To improve healing process in acute muscle injury, 10% dextrose solution can be an option.
© 2020 Deviandri R. This is an open access article distributed under the terms of the Creative Commons Attribution License , which permits unrestricted use, distribution, and build upon your work non-commercially.
a Creative Commons Attribution 4.0 International License. Based on a work at www.crimsonpublishers.com.
Best viewed in