Nisreen A Rajeh1*
1Department of Anatomy, Faculty of Medicine, KAU
*Corresponding author: Nisreen A Rajeh, Department of Anatomy, Faculty of Medicine, KSA
Submission: July 27, 2020;Published: August 11, 2020
ISSN:2690-9731 Volume2 Issue1
Acrylamide (ACR) is an odorless, water soluble vinyl monomer which exhibits several toxicological properties that affects almost all the major organ systems of human body. Reproductive toxicity due to ACR seems to be more pronounced in males than females. To elucidate the effect of ACR on reproductive system in males we designed the current study investigating the histopathological changes in seminal vesicles of male Wister rats. We also explored the ameliorative potential of vitamin E on toxicity induced by ACR in seminal vesicles. The experimental rats were divided into four groups. Group I served as control, Group II were treated with ACR, Group III with ACR+ vitamin E and Group IV was treated with only vitamin E. Our results clearly depicted noticeable changes in the histology of seminal vesicle of rats i.e., disorganization of mucosal folds with desquamation, necrosis of covering epithelium, cracked luminal secretions, loss of compactness of muscle layer and atrophied muscles. These changes were constructively reversed in Group III which was supplemented with vitamin E while ACR was also present. Distinguishable changes were observed in this group as evident by preservation of mucosal fold architecture and columnar covering epithelium of seminal vesicle. The muscle layer showed potential improvement in some rats but did not completely return to its normal compact appearance in others. Thus, our study elucidated the deleterious effect of ACR on seminal vesicles for which vitamin E acted as an ameliorative agent.
Acrylamide (ACR) is a potent toxicant that is primarily released during industrial processes
of polymer manufacturing due to hydration of acrylonitrile [1]. Another major source of
ACR toxicity is its generation in some carbohydrate rich foods such as potatoes, breads and
cookies that are cooked at high temperatures (120 ℃ or above) [2,3]. When these foods are
subjected to extreme heat, a reaction between amino acids such as asparagine and reducing
sugars such as glucose/fructose present in these foods occurs which causes the release of
ACR (Maillard reaction) [3,4]. Whether being a dietary or occupational exposure, ACR is
known to inflict serious toxicological effects in human body. Various studies in animal models
have been conducted to mark the potential toxicological effects of ACR. ACR is profoundly
reported to cause neurotoxicity, nephrotoxicity, carcinogenicity, genotoxicity, developmental
anomalies, and reproductive defects [5-7]. The Scientific Committee on Toxicity, Ecotoxicity
and the Environment (SCTEE) reports ACR to exhibit genotoxic effects in germ cells as well as
in reproductive system of males as well as females [8]. Studies regarding reproductive toxicity
of ACR have elucidated many histopathological changes in various organs and components of
the reproductive system, especially in males. Some of the well observed anomalies caused by
ACR in male reproductive system include testicular epithelial tissue degeneration, decrease
in epididymal sperm reserves, histopathological lesions in testes, decrease in sperm count
and motility and abnormalities in sperm morphology [5,9]. Even though numerous studies
have pointed towards a deleterious effect of ACR on sperm production and morphology, none
of them have explored the effect of direct ACR exposure on seminal vesicles [10,11]. Seminal
vesicles are the glands that are partly responsible for production of the seminal fluid which provides a thriving environment to the sperms. The underlying cause
of toxicological alterations by ACR is the generation of oxidative
stress that leads to changes of some major macromolecules such
as proteins and DNA. However, further mechanisms that alter the
functioning of reproductive system on exposure to ACR need to be
investigated. Experimental studies in rats have shown that once
ACR enters the body, it generates glycidamide, which is a more
harmful metabolite than ACR itself [12]. This reaction is mediated
by enzyme cytochrome P450 E1 (CYP2E1) [13]. Glycidamide is
known to have a high potential for causing DNA as well as protein
damage as compared to the unmetabolized ACR [14]. In the process
of generation of glycidamide by CYP450 E1 from ACR, many free
radicals are also released that consequently lead to a build-up
of oxidative stress, causing lipid peroxidation and alterations in
essential proteins required for normal metabolism and functioning
of a cell [15].
Thus, considering the capability of ACR to generate oxidative
stress, antioxidant compounds such as Vitamin E (alphatocopherol),
could be explored as a potential ameliorative agent
against ACR induced toxicity. Vitamin E or alpha-tocopherol is a
type of fat-soluble vitamin found frequently in the cell membranes.
It exhibits strong antioxidant properties which inhibit lipid
peroxidation produced by the free superoxide and hydroxyl radicals
[15]. Many studies have revealed the protective role of vitamin E in
sperm cell against the damages of Reactive Oxygen Species (ROS)
along with improvement in sperm motility as well as reproductive
function [16,17]. As ACR is known to induce reproductive toxicity
by affecting sperm morphology, motility or sperm count, we try to
explore the cause of this alteration by conducting a histopathologic
study of seminal vesicles on being exposed to ACR, since these
glands play a major role in maintenance of sperm health. Following
this we investigate vitamin E as a potential attenuating agent of ACR
induced toxicity in seminal vesicles. To the best of our knowledge,
this is the first study that directly investigates the effect of ACR on
seminal vesicles and its amelioration by vitamin E.
Materials
The plus one acrylamide (PAGE) grade of ˃99.95 purity was procured from Pharmacia Biotech (Upsala, Swedan). Vitamin E (DL-α-tocopherol Acetate) was procured from Sigma-Aldrich (Steinheim-Germany). All other materials and chemicals used in the study of molecular biology grade were procured from BHD laboratory supplies (Analar®, England).
Animals and Treatment: Forty-nine adult male Wister rats were purchased from King Fahad Medical Research Centre (KFMRC), Jeddah, Kingdom of Saudi Arabia (KSA). All animal care procedure and treatments were carried out at KFMRC. On arrival these rats were 60 days old and weighed 250±20 g. Four rats were housed per polypropylene cage with bedding made of wood shavings. The environment around the rats was controlled throughout the experiment as relative humidity of 40-65%, temperature 22±2 °C and 12 hours/12 hours light/dark cycles. The rats were provided with adequate amount of tap water and were fed laboratory chow. The animals and study design were approved by the Unit of Biomedical Ethics, King Abdulaziz University (KAU), Medical College, Jeddah, KSA. The guidelines laid by KAU follow the national and international laws and policies (National Institutes of Health Guiding Principles on the Care and Use of Laboratory Animals, USA). The experimental rats were left to adapt to the environment for 3 days before initializing the dosing. The rats were clustered into four groups (n=7). Group I was of normal control rats which were provided with tapped water and laboratory chow during the complete experimental period. Using orogasteric needle, Group II rats were treated with only acrylamide (45mg/kg bw/day) by oral gavage which was selected as effective dose for inducing ACR toxicity in our other studies as well [10]. Group III rats were administered with both acrylamide + vitamin E (200mg/kg bw/ day). Group IV was the drug control group for vitamin E treatment where the rats were given vitamin E alone (200mg/kg bw/day). This experiment was performed for 5 consecutive days. All rats were checked and weighed daily for any abnormal behavior or sudden death in experiment and recovery period. After a recovery period of 1-day post cessation of ACR the rats were sacrificed by cervical dislocation and both seminal vesicles were isolated for further experimental assessment.
Histopathology
Tissue preparation and histopathological examination: The section of seminal vesicle of all rats were isolated and fixed immediately by 10 % natural buffered formalin for 24 hrs. Tissues were then processed using automatic tissue processor (Shandon, England) by using standard laboratory procedures for histology. Tissues were briefly embedded in paraffin blocks, sectioned, and then stained with Hematoxylin and eosin stain (H&E). Tissues were examined for any histological changes using light microscopy (Olympus BX51TF) at 10X, 20X, 40X magnification and representative images were captured with Olympus DP 72 camera.
General observation: The Group II experimental rats that were treated with only acrylamide had a rough coat and showed signs of aggression and rough coat. The intake of food and water was also apparently reduced. Improved food and water intake were noticed in Group III which received a combined treatment of acrylamide with vitamin E. A normal food and water intake were also observed in Group IV rats who received only vitamin E. Throughout the experimental period, no symptoms of illness or mortality were observed in any of the groups (control as well as experimental).
Histopathology of seminal vesicle sections of control group and drug-control groups (Vit E alone): The control group which was fed only with laboratory chow and tap water during the experiment showed normal layers of seminal vesicle tissue, intact mucosal folds covered by columnar epithelium having highly basophilic and compact smooth muscle layers. The secretion within the lumen was observed to be homogenous and highly acidophilic (Figure 1a). Similarly, in the group treated with vit E alone, intact mucosal layers with normal epithelium could be seen. The muscular layers of these seminal vesicles were also observed to be well organized.
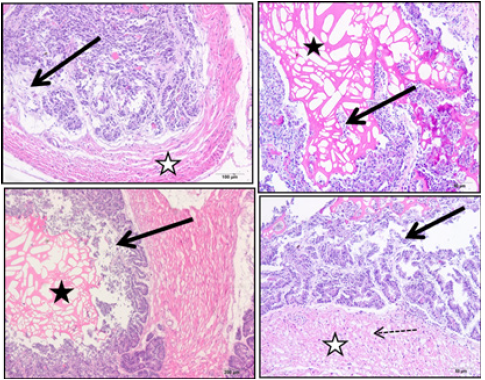
Effects of acrylamide on seminal vesicle (Group II) The Group II rats that were treated only with acrylamide showed visible changes in histopathological sections of seminal vesicle of experimental rats. Marked disorganization of mucosal folds with desquamation and necrosis of covering epithelium could be observed in different regions of seminal vesicle, the luminal secretions were noticed to be cracked. The examined muscle layer showed a loss of its compact structure, being atrophied, and appeared widely separated (Figure 2).
Figure 1:(a) The control group showing section of seminal vesicle stained with H and E stain. Black arrows indicate intact mucosal folds. Presence of highly basophilic columnar epithelium (dotted arrows). White stars indicate compact smooth muscle layers and black star indicates homogenous and highly acidophilic lumen secretion. (b) Group IV treated with vitamin E alone showing section of seminal vesicle stained with H and E stain. Low (x100x200) and high (x400) magnification photographs of rat seminal vesicle of Vitamin E group. White arrows indicate intact mucosal layers, ML indicates muscle layers and black arrows represent the lining epithelium.

Figure 2:Group II treated with acrylamide showing section of seminal vesicle stained with H and E stain. Black arrows indicate disorganized mucosal folds with necrosis and desquamation of covering epithelium. Black stars indicate cracked luminal secretions. White star indicates widely separated and atrophied muscle layer with lose compact structure.

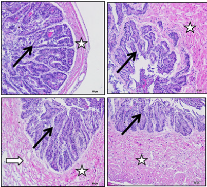
Effects of acrylamide + vitamin E on seminal vesicle (Group III): The Group III rats that were treated with acrylamide + vitamin E showed visible changes in sections of seminal vesicle of experimental rats. The results showed evident preservation of mucosal fold architecture and the covering columnar epithelium of seminal vesicle. The muscle layer showed potential improvement in some rats as compared to the rats receiving only ACR. However, on the other hand, the muscle layer of a few rats did not completely return to its normal compact appearance (Figure 3).
Figure 3: Group III treated with acrylamide + vitamin E showing section of seminal vesicle stained with H and E stain. Black arrows indicate preservation of mucosal fold architecture, columnar covering epithelium. White stars indicate potential improvement in muscle layer in some experimental rats. White arrow indicates incomplete return of muscle layer to its normal compact appearance in some experimental rats.

Acrylamide (ACR) is an infamous toxicant known to have
negative implications on most of the organ systems of a human
body. It has been reported to act as neurotoxicant, reproductive
toxicant and carcinogen in animal models. Monomeric ACR has been
shown to cause cellular damage in both nervous and reproductive
systems and tumors in specific hormonally responsive tissues [18].
Reproductive toxicity caused by ACR has been a subject of research
dating long back. Reproductive toxicity due to ACR is found to have
many serious implications, especially in males, primarily affecting
the motility, count, and morphology of sperms [19]. However, the
exact mechanism leading to this phenomenon still needs to be
identified. Thus, this study aims at investigating the toxicity of ACR
in seminal vesicles and the role of vitamin E in its mitigation. The
present study revealed that rats treated with 45mg/kg bw/day of
ACR for 5 consecutive days became aggressive and developed rough
coat. Consequently, their food and water intake decreased. A similar
behavior has been reported in our previous studies as well [7,12].
This study clearly shows that ACR causes reproductive toxicity that
affects seminal vesicles as evident by visible changes in the vesicular
sections of experimental rats. The histological examination of the
covering epithelium showed marked disorganization of mucosal
folds with desquamation and necrosis, even the muscle layer lost
its compactness and showed signs of atrophy. Many studies have
been conducted previously to investigate the effect of ACR on male
reproductive system in rats, however, none of them have focused on
the seminal vesicles [20-23]. A study by Al-Karim et al., showed that
ACR in low dose can produce structural changes in reproductive
system of both female and male rats. They reported damage of
germ cell layers and DNA, histological changes leading to sperm
deformity as well as a decrease in seminiferous tubules of male rats
on exposure to ACR. Since the histological changes were found in
many other reproductive organs as well, this could be correlated
with our findings [24]. Similar findings were also reported where
a damage at histological and ultrastructural level was observed
because of ACR induced toxicity in testis of the rats in the form of
degeneration of the tissue and arrested spermatogenesis. Decreased
diameter of seminiferous tubules and decreased epithelial height
were also reported, however, these changes were improved by
vitamin E treatment [25].
The present study also revealed that the rats treated with
both ACR and vitamin E for 5 consecutive days showed noticeable
changes in their seminal vesicles as well. However, there was a
pronounced restoration of mucosal fold architecture, covering
columnar epithelium of seminal vesicles and muscle layer in
contrary to the ones treated with ACR only. The rats of this
experimental group (ACR + vit E) also showed improved food and
water intake. These findings correlate with the results of the study
carried out by Erdemli et al. They reported that damages indicated
by histo-morphological changes in reproductive organs of rats were less when ACR was administered in combination with vitamin E as
compared to when ACR was administered alone thus, signifying
the healing effect of vitamin E. Their observations included
the restoration of seminiferous tubules organization, initiating
maturation of germ layer and decline of interstitial oedema [26].
Thus, histopathological examination of seminal vesicles in our
study clearly demonstrated that exposure of rats to ACR has
significant adverse effects on their reproductive system, however,
these undesirable changes could be ameliorated by administration
of vitamin E. This damage by could be attributed to the oxidative
stress generated by ACR along with an imbalance in oxidant/
antioxidant ratio, generation of glycidamide, shift towards oxidants
and lipid peroxidation [26]. Vitamin E is known to be a potent
antioxidant that protects against oxidative stress by inhibiting
propagation of ROS reactions and lipid peroxidation, which could
be one of the reasons that it showed a significant protective effect
against ACR toxicity on seminal vesicles in our study as well. Our
observations fall in line with this underlying principle as well as
with other studies reporting that ACR induced harmful effects on
male reproductive organs have been considerably improved by use
of vitamin E [27,28]. Numerous studies have reported the protective
effect of vitamin E against ACR induced toxicity in various /other
organs such as kidneys, brain, testis, skeletal muscles etc (26, 30-
32). In addition to this, research has suggested that using vitamin
E in rats exposed to toxins such as ACR may cause a reversal of
the atrophies [7,24]. To the best of our knowledge, this is the first
study that marks ACR as a potent toxin affecting seminal vesicles of
rats with vitamin E acting as an ameliorative agent of such toxicity.
In conclusion, this study states that reproductive toxicity due to
ACR is well pronounced in seminal vesicles accompanied by many
histopathological changes. These histopathological changes could
be constructively reversed by vitamin E supplementation in most
of the cases with just a few exceptions. Thus, vitamin E proved to be
an effective ameliorative agent which can protect seminal vesicles
from the deleterious effects of ACR toxicity. Further studies need to
be carried out on a larger sample size investigating the mechanisms
of ACR toxicity and its amelioration by vitamin E on a molecular
level so that it could pave a way for utilization of vitamin E as a
protective drug against ACR induced toxicity.
I highly appreciate the kind help of Professor Soaad Shaker for conducting histopathological studies and helping me in reading and examination of slides.
© 2020 Nisreen A Rajeh. This is an open access article distributed under the terms of the Creative Commons Attribution License , which permits unrestricted use, distribution, and build upon your work non-commercially.
a Creative Commons Attribution 4.0 International License. Based on a work at www.crimsonpublishers.com.
Best viewed in