Abhishek Kumar Ramadhin1* and Diptarka Bhattachayya2
1 Deportment of Otolaryngology, Elizabeth Medical Center, USA
2 Deportment of Otolaryngology, Sinai Hospital of Baltimore, USA
*Corresponding author: Abhishek Kumar Ramadhin, Clinical fellow, Rhinology, Inst. St. Elizabeth Medical Center, Otolaryngology, Boston, MA, USA
Submission: May 11, 2018; Published: June 08, 2018
ISSN 2637-7780 Volume1 Issue5
Introduction: Invasive fungal sinusitis is an uncommon disease but with high mortality and morbidity, and the treatment is multi-modal However, the management of the orbit is still unclear, with a fine line between orbital conservation and worsening disease outcomes.
Aim: This study is an anonymized, multi institutional retrospective study undertaken in two large tertiary referral centers, whereby patient records and charts from 2007 to 2017 were systematically reviewed, and patients meeting the inclusion criteria were selected.
Materials and methods: A total of 47 patients (n=47) were found to fulfill the inclusion criteria. Out of these, 14 were found to have extensive intraorbital disease, and 33 were found to have limited periosteal involvement. In all, a total of 23 patients underwent orbital exenteration.
Results: In our series of patients, we found that extensive orbital disease patients need orbital exenteration early, even though the survival benefit is unclear. However, in patients with limited orbital disease, a trial of conservative management yielded orbital conservation in 72.7% patients, and it does seem that the results for limited anterior disease is even better, achieving 85% conservation
In the last century, fungal diseases of the par nasal sinuses have emerged as a major challenge for physicians, clinical microbiologists and scientists. The incidence of mitotic infection and the number and diversity of pathogenic fungi have increased dramatically in the recent years. Both immune competent and immune compromised individuals are at risk. The growing breadth, complexity and significance of mycological disease needs an in depth study of treatment of fungal rhino sinusitis that is increasing in incidence and often difficult to diagnose and manage. While there is a fair amount of literature about Invasive Fungal Sinusitis (IFS), still there exists controversy regarding the orbital management protocol in this disease, and this article attempts to take an in depth look at this particular aspect, and also review current existing literature.
This study is an anonym zed, multi institutional retrospective study undertaken in two large tertiary referral centers, whereby patient records and charts from 2007 to 2017 were systematically reviewed, and patients meeting the inclusion criteria were selected. The data was assessed regarding medical vs. surgical management of orbital fungal invasive disease and statistical analysis done. A literature review was conducted and a comparative analysis done. The IRB approval was obtained prior to this (ENT/ECARP/14/63).
As this is a retrospective study, the criteria were:
a. Proven fungal tissue invasion noted on tissue samples irrespective of eventual fungal culture results.
b. Orbital involvement described on initial imaging study which in all cases was CT Para nasal Sinuses.
c. Duration of symptoms less than 1month at the time of first presentation to the study center
d. Follow up of 6 months.
Patients who had symptoms greater than 3months at initial presentation to the study center or patients whose tissue biopsy showed granulomatous inflammation and fibrosis. Patients whose initial imaging showed intracranial disease was also excluded, as these patients have a uniformly dismal prognosis, and the purpose of this study is to look at management of Sino-orbital disease. The patients who had extensive orbital disease, defined on imaging as intraconal disease spread, involvement of orbital apex or extensive Loss of contrast enhancement in orbital soft tissue suggestive of necrosis within, OR by direct visualization of necrosis extending extensively intra orbit ally during Endoscopic debridement underwent early debridement.
In patients who were found to have limited orbital disease, defined on imaging as orbital Contrast enhancement and on direct endoscopic visualization as disease extending up to periosteum, but not extensive enough as above, were given a trial of conservative management with cottonoid soaked Amphotericin B at 0.5mg/ml 3times per day Figure 1-6. This was done under direct visualization with bedside endoscopy for anterior disease adjacent to the lamina and especially for posterior disease adjacent to the sphenoid. This was supplemented by systemic antifungal treatment, i.e. Intravenous Amphotericin B (1.5mg/kg/day in patients receiving regular Amphotericin B and 5mg/kg/day in patients receiving liposomal Amphotericin B) with additional oral voriconazole added to patients diagnosed with aspergillus species as the causative agent, and nasal debridements every week [1]. If the patient was found to be worsening as per clinical symptoms (worsening of vision, new onset opthalmoplegia, diplopia or direct visualization of disease progress during endoscopy, orbital exenteration was done at that stage. Liposomal Amp B was reserved for patients who had toxicities from D Ampho B, and Voriconazole was added for patients who had Aspergillus as the causative agent.
Figure 1:A 65 y/o Man who presented with chemosis, eyelid edema, decreased vision.

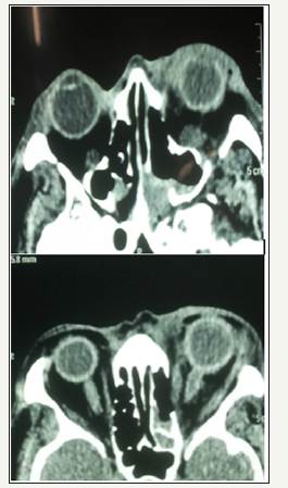
Figure 2:CT scan findings showing significant orbital inflammation (Note the globe is visible on the right, but not on the leftindicating proptosis), on the left showing limited lamina papyracea disease.

Figure 3:MRI findings showing preorbital inflammation and proptosis.

Figure 4:Patient of IFS, after debridement, showing residual disease posteriorly, which is difficult to treat (top) and enhancement of the medial rectus (Bottom).

Figure 5:Chemosis, conjunctival edema, visual loss in a 46 y/o Man.

Figure 6:One of our orbital exenteration patients who later underwent a free flap reconstruction.

A total of 47patients (n=47) were found to fulfill the inclusion criteria as set above. All the patients had an underlying immunosuppressive cause, as outlined in Table 1 the demographic distribution was of 30 males and 17females. The age range was 42-77; with distribution as outlined in Table 2. The causative pathogen was Aspergillus in 21patients and Rhizopus in 25. At the end of the study, 20 out of these patients survived, and 17out of the ones afflicted by Aspergillus survived, both having a near 80% survival rate. Thus, we did not see any Species related differences in mortality in our study. However, it should be noted that out of the 4 patients who went on to have intracranial involvement following orbital exenteration and die, all had Diabetes and Rhizopus, which probably indicates that Diabetics with Rhizopus require more aggressive management, as in them, the disease can spread faster Table 2.
Table 1:

Table 2:

In these 47patients, 14 were found to have extensive intraorbital disease, and 33 were found to have limited periosteal involvement. In all, a total of 23 patients underwent orbital exenteration. Table 3 & 4 detail the survival and the time of exenteration, from the day of first nasal endoscopy. The commonest clinical symptoms associated with orbital involvement were reduced visual acuity (63%), varying degree of opthalmoplegia (34%), and chemosis & proptosis (46%). However, in 12patients, that is 25.5% of patients, there were no orbital symptoms complained of. All of them had limited orbital disease noted on imaging, 9 of whom had limited anterior ethmoid and maxillary disease Table 3 & 4. In relation to co-morbidities, Diabetics made up the largest group of patients who underwent exenteration, as expected from the demographics. Thus in this study, in limited orbital disease there was an almost 72% conservation rate.
Table 3:

Table 4:

As discussed before, orbital management of invasive fungal sin nasal disease is still institution dependent. The accepted gold standard is orbital exenteration, although multiple large scale studies [2], the largest one being of 807 patients did not find any benefit to exenterations with around 45% of patients dying even after exenteration Figure 7. In our study also 39% patients died even after exenteration, however, we feel factors like initial extent of involvement, time to exenteration, and concomitant intracranial disease are other factors which affect this outcome, hence in carefully selected patients a trial of Local Irrigation is reasonable as it may avoid exenteration, and if the delay does not appear to worsen prognosis. Continuous irrigation has been described before [3,4] with mixed literature regarding benefits [5,6]. Side effects reported are pain and chemosis which may be difficult to distinguish from disease progression clinically [6].
Figure 7:

Figure 8:

In our series of patients, we found that extensive orbital disease patients need orbital exenteration early, even though the survival benefit is unclear. In our study inspite of early exenteration 28.5% patients went on to develop intracranial disease and all of them succumbed. In total, in patients who underwent early exoneration, there was a 42.8% survival rate Figure 8. However, in patients with limited orbital disease, a trial of Local cottonoid placement under direct visualization and Amp B irrigation in addition to systemic antifungal therapy and regular debridement’s yielded orbital conservation in 72.7% patients. Out of these, 46% actually had improvement in their vision & ocular symptoms whereas the other 54% did prevent further worsening of vision. Out of the remaining 9 patients who went on to get exenteration, 6 of them were found to have posterior disease, in the initial scan. This could be due to a. Better visualization and cottonoid placement anteriorly resulting in better drug delivery or b. as the posterior orbit is less accessible and has lesser blood supply.
In this series of patients, 3 of the patients underwent the exenteration after 7days, on day 8, 9 and 14. The patient who underwent the procedure, though he improved initially, recurred with the disease in the other eye, and had to get the other eye exenterated too. The patient who had it on Day 9went on to develop intracranial involvement and died. The following table summarizes the above. We feel that early exenterations are mostly performed for aggressive disease, and as such many of these patients may have microscopic intracranial disease, probably explaining the poorer survival in these patients. Although Turner’s study did not find a poorer prognosis associated with this, multiple other studies do contradict this, and so, we believe, it is justified to go ahead with urgent exenterations in these patients. However, in limited orbital disease, there definitely appears to be a role of a conservative trial, which in our series yielded a 72.7% conservation rate, although it does seem that the results for limited anterior disease is even better, achieving 85% conservation which is in agreement with other trials. Also, we did achieve a 50% conservation rate even with posterior disease, for which other authors have advised early exenteration. This is probably due to direct endoscopic visualization and placement of cottonoids, ensuring better delivery of antifungal.
Thus, in our series of patients, 48.9% patients had to undergo exenteration, and post exenteration survival was around 70%. This is better than Turner’s review of overall 50% mortality [1], but is within the range of more recent studies [7-10] of 6-68% .Although some studies have demonstrated a difference, albeit not statistically significant, in survival between aspergillus and Rhizopus, [11,12] in our series we found no difference in survival. In our series, the best survival results are seen between days 3-7, though this is probably due to aggressive disease being exenterated within the first 3 days [13]. However, delay beyond 7 days may lead to poorer outcomes, as in our case series 2 out of 3 patients in this group had disease recurrence despite exenteration.
Invasive fungal sinusitis is a potentially lethal disease that can involve the orbit in up to 50% of cases [11]. Orbital exenteration has variously been recommended for post septal disease, inflammation of the orbit, or in blind eye [14,15] but survival benefits of exenteration have been difficult to prove [1]. However, we feel that there are 2 sub-groups of these patients, and while early exenteration is needed in those with aggressive necrotic disease in the intra orbital compartment, local irrigations under direct visualization could potentially avoid the need for exenteration in many patients with limited disease, and hence could be a worthwhile alternative [16-18]. However, the patients need to be under close observation, and the ideal time of switching to exenteration, if no improvement is noted seems to be lesser than 7 days; although there will need to be larger studies before drawing any definitive conclusions. Future randomized multi-institutional trials will be needed to draw up definite protocols for the management of the different stages of orbital involvement in Invasive fungal sinusitis.
© 2018 Abhishek Kumar Ramadhin. This is an open access article distributed under the terms of the Creative Commons Attribution License , which permits unrestricted use, distribution, and build upon your work non-commercially.
a Creative Commons Attribution 4.0 International License. Based on a work at www.crimsonpublishers.com.
Best viewed in