Lourianne Nascimento Cavalcante1,2,3, Luciana Vieira Pinheiro2, Ylanna Fortes Fonseca2, Cláudia Machado3, Camila Medrado P. Barbosa3, Igor Campos da Silva3 and André Castro Lyra1,3
1Federal University of Bahia, Brazil
2Universidade Salvador (UNIFACS), Brazil
3Gastroenterology and Hepatology Service, Hospital São Rafael, Brazil
*Corresponding author: Lourianne Nascimento Cavalcante, MD, Hospital Universitario Prof. Edgard Santos, Rua Agusto Viana Filho SN, Canela Salvador, Bahia-Brazil
Submission: January 23, 2018; Published: February 07, 2018
ISSN 2637-7632
Volume1 Issue2
Introduction: Autoimmune hepatitis (AIH) etiology remains unknown, but in genetically predisposed individuals, diverse agents may trigger the disease. Herbal and drug induced AIH have been reported in recent years probable due to the increase in self-medication. More studies are necessary to define if drugs and herbal/dietary supplements unmask and induce AIH or drug-induced hepatitis with autoimmune features.
Purpose: We report an autoimmune hepatitis case possibly induced by herbal/dietary supplements intake.
Case-report: A 55-year-old female presented with a 15-day course of jaundice and increased aminotransferases. Immunologic panel showed antinuclear antibody titer of 1:320 and serum immunoglobulin G (IgG) level approximately 2 times the upper limit of normal. She reported regular daily ingestion of Herbalife® products for 6 months which were discontinued when symptoms began. Laboratory tests worsened despite the fact that patient had stopped supplements usage, and a liver biopsy was performed. Histology was suggestive of both AIH and drug induced liver disease. The patient fulfilled criteria for probable AIH based on the revised criteria for diagnosing autoimmune hepatitis, and improved with prednisolone and azathioprine therapy, with progressive laboratory improvement and symptoms remission.
Discussion: Herbal/dietary supplements induced AIH has been previously reported, but the causality is not yet well established. Worsening of aminotransferases despite supplement suspension, histological findings and favorable response with corticosteroid treatment, supported the hypothesis of AIH induced by the used supplement. This case report aims to demonstrate the possible causality between herbal/dietary supplements and liver injury, including autoimmune hepatitis.
Keywords: Autoimmune hepatitis; Dietary supplements; Herbal supplements; Liver disease
Abbreviations: HDS: Herbal and Dietary Supplements; HILI: Herbal Induced Liver Disease; DILI: Drug Induced Liver Disease; AIH: Autoimmune Hepatitis; AST: Aspartate Aminotransferase; ALT :Alanine Aminotransferase; GGT: Gamma-Glutamyl Transferase; TB: Total Bilirubin; INR: International Normalized Ratio; EBV: Epstein Barr; CMV: Cytomegalovirus; HIV: Human Immunodeficiency Virus; MRI: Magnetic Resonance; IgG: Serum Immunoglobulin G; NSL: Normal Superior Limit; CIOMS: Council for International Organizations of Medical Sciences
The number of patients using herbal and dietary supplements (HDS) has considerably increased through the last years [1-7]. Most patients perceive herbal and dietary supplements as harmless products. The majority of these supplements have compounds with potential severe side effects, including hepatotoxicity [2-6,8]. Herb and drug induced liver disease (HILI/DILI) may manifest virtually the entire spectrum of acute and chronic liver disease [1,4,5,8-11]. DILI is the leading cause of acute liver failure in several Western countries. It is estimated that 23.000 emergency visits each year are attributed to adverse effects of HDS use in the United States (US) [1]. Several case reports showing the association between dietary supplements and acute liver injury have been previously described, some of them with fulminant catastrophic disclosure [1.2.5.10.12.13].
Autoimmune hepatitis (AIH) is a chronic necroinflammatory liver disorder that is characterized by hypergammaglobulinemia, presence of autoantibodies in serum and periportal hepatitis[9.11.13].The diagnosis of AIH is based on the characteristic clinical and histological features as well as the absence of other potential causes of hepatitis. AIH etiology remains unknown, but, in some genetically predisposed subjects, environmental agents such as viruses and some drugs have been postulated to trigger a cascade of events mediated by lymphocytes T, directed against liver antigens, which results in progressive organ lesion [9]. Few case-reports have associated herbal and dietary supplements as possible triggers for autoimmune hepatitis. To date, it is still unclear whether drugs and HDS unmask or induce AIH or simply cause drug-induced hepatitis with autoimmune features, and the differential diagnosis may be a challenge [11,13].
A 55-year-old female presented to our hospital complaining of 15-day history of progressive jaundice and choluria. She did not have fever, chills, nausea, vomiting, abdominal pain or bleeding. She further denied prior medical or surgical conditions, blood transfusion, family history of hepatobiliary or autoimmune diseases, use of acetaminophen or other medication, over the counter or illegal drugs. She reported ethanol intake up to 20g per day being abstinent for the past 3 years. She has been taking herbal and dietary supplements (HDS) from Herbalife®, especially the ones containing green tea and hibiscus, daily, for six months. She stopped its usage when symptoms emerged. Patient stated she did not take other bodybuilding supplements. Physical examination showed normal vital signs, BMI 24Kg/m2, moderate jaundice and hepatomegaly. There were no evidences of ascitis, vascular spiders, hepatic encephalopathy and other findings of chronic liver disease.
Serum aspartate aminotransferase (AST) level was 1440UI/L (normal range 15-59UI/L), serum alanine aminotransferase (ALT) level was 1736U/L (normal range 15-72 UI/L), serum alkaline phosphatase level was 220 (upper limit of normal 126UI/L), serum gamma-glutamyl transferase (GGT) level was 306UI/L (upper limit of normal 73UI/L), serum total bilirubin (TB) level of 2,8mg/dL (normal range 0,3-1,2), international normalized ratio (INR) of 1,38 (normal range 0,8-1,0), serum total protein level of 8,2g/L(normal range 5,7-8,2), serum albumin level of 3,5g/L(normal range 3,5-4,8) and serum globulin level of 4,8g/L (normal range of 2,0-4,0g/L). She had normal previous laboratory tests. Patient was admitted to the hospital for medical care and etiologic investigation. After 3 days liver tests deteriorated (AST 2800 UI, ALT 3000UI/L, Bilirrubin 3,2 mg/dL and INR levels 1,5) but there were no evidences of hepatic encephalopathy.
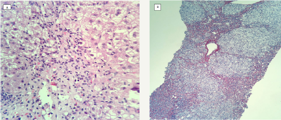
Standard blood tests were negative for hepatitis B (HbsAg, Anti-HBc IgM/IgG), A (HVA-IgM), C (Anti-HCV and HCV RNA), Epstein Barr (EBV-IgM), cytomegalovirus (CMV-IgM), human immunodeficiency virus (HIV- ELISA), herpes simplex virus (HSV- IgM) and dengue virus (dengue-IgM). Serum ceruloplasmin levels as well as 24h urinary cupper were normal; ferritin level was 3 times the upper limit of normal and transferrin saturation was increased (65%). Antinuclear antibody (ANA) titer was 1:320, anti-smooth muscle antibody, anti-mitochondrial antibody and anti-liver/kidney microsomal antibody tests were negative. Serum immunoglobulin G (IgG) level was 2.993mg/dL (normal range: 7001.600mg/dL); serum protein electrophoresis revealed polyclonal gamma globulins elevation (35%). Lipid panel was normal. Ultrasound showed only mild hepatic steatosis. Magnetic resonance imaging displayed slight increased T2 signal intensity at periportal tract, markedly in central zones (segment IV), unspecifically related to hepatitis; there was no evidence of iron overload, peliosis hepatis and vascular diseases. Liver biopsy showed chronic active hepatitis with periportal and bridging fibrosis, with some neutrophils and eosinophils, lobular lymphocytic inflammation, as well as interface hepatitis, hepatocyte ballooning, mild zone 3 cholestasis and mild kupffer cells iron overloadlobular lymphocytic inflammation, as well as interface hepatitis, hepatocyte ballooning, mild zone 3 cholestasis and mild kupffer cells iron overload (Figure 1).
Figure 1: Histological findings compatible with autoimmune hepatitis possible triggered by herbal/dietary supplements.
A) Periportal interface hepatitis. Hematoxylin - eosin stain.
B) Fibrosis with nodular transformation. Picrosirius stain.

Thus, according to the revised criteria for diagnosing autoimmune hepatitis (International Autoimmune Hepatitis Group Panel) [13,15], the patient fulfilled diagnostic criteria for probable autoimmune hepatitis and according to simplified diagnostic criteria of the International Autoimmune Hepatitis Group [16], patient achieved criteria to defined AIH. Therapy was initiated with prednisolone 30mg/day and azathioprine 50mg/day regimen. Liver function tests, serum gamma globulins level and symptoms progressively improved after immunosuppression and the patient was discharged for outpatient follows up.
After 30 days, AST, ALT and bilirubin levels improved more than 60% of baseline. One year after the initial event, patient was taking prednisolone 10mg and azathioprine 75mg once/day, did not have any symptoms and had a complete response to treatment. Laboratory tests showed: (AST) level of 43UI/L (normal range 15- 59UI/L), serum alanine aminotransferase (ALT) level of 35U/L (normal range 15-72UI/L), serum alkaline phosphatase level 50UI/L (normal superior limit 126UI/L), serum gamma-glutamyl transferase (GGT) level of 60UI/L (normal superior limit 73UI/L), serum total bilirubin (TB) level of 0,8mg/dL (normal range 0,31,2), international normalized ratio (INR) of 1,0 (normal range 0,8-1,0), serum total protein level of 7,5g/L (normal range 5,78,2), serum albumin level of 3,8g/L(normal range 3,5-4,8), serum immunoglobulin G (IgG) level of 1593mg/dL (normal range: 7001.600mg/dL); protein electrophoresis did not reveal polyclonal gamma globulins elevation (18%).
Herbal and dietary supplements (HDS) intake has been steadily increasing worldwide, mostly for the purpose of weight loss and to contribute to a supposedly healthy lifestyle [1-5,7]. Over the last decade, several researches have demonstrated that HDS could promote a diverse spectrum of hepatic toxicities, and acute drug and herbal induced liver injuries are well documented as part of the spectrum of drug/herb induced liver disease (DILI/HILI) [13,5,6,7,9,12]. Case series have established the relationship between acute liver injury and Herbalife® and other herbal products [2,3,5,11,12].
Herbal agents have rarely been reported as triggers to autoimmune hepatitis [14]. To date, it is unclear whether drugs and herbs unmask AIH, bringing a subclinical illness to clinical attention, or induce AIH, as we suppose that has happened in or cause drug- induced hepatitis with autoimmune features ("autoimmune- like" DILI/HILI) [1,11]. Studies have suggested that in genetically susceptible individuals, the drug is recognized as a neo-antigen and the host consequentially produces antibodies to the agent as well as autoantibodies. A necroinflammatory process ensues through chain-like mechanism in the liver resulting in autoimmune disease [17].
A few number of similar reported cases were published describing the association between dietary supplements and AIH. Roytman et al. [18] described a series of six cases of patients with acute liver injury temporally associated with OxyElitePro® (thermogenic) intake, some of which had compatible histology with AIH. The six patients were treated with corticosteroids and improved liver injury [18,19]. Riyaz et al. [14] described a series of six cases of patients with acute liver injury associated with the act of chewing Kath (CATHA EDULIS), an evergreen shrub, for several years. Five of the six were classified as probable AIH and treated with corticosteroids with reduction greater than 50% in their ALT levels after one month of treatment. Only two patients had more than 1 year of follow up, with one of them showing complete response to treatment [14]. Jeong et al. [10] described another case of AIH triggered by HDS; the patient had taken herbal medicines of unknown origin as health supplements 4 weeks before developing AIH and no further longer Sjorgren Syndrome. She fulfilled criteria for autoimmune hepatitis and responded well to treatment with prednisone and azathioprine [9].
Herbalife® products consist of a variety of mixtures; contain a wide range of ingredients, which makes it challenging to identify a single responsible component as a possible trigger to injury. Besides, the product contamination is possible and may be the reason for hepatotoxicity [1,5]. To our knowledge, only one case has reported Herbalife® as a possible trigger for autoimmune hepatitis. In that case, another hepatotoxic supplement was also implicated (HydroxyCut®) as a possible trigger to AIH development. The patient had been using Hydroxycut® and Herbalife® daily for more than three months from admission, and presented similarly with cholestasis and acute hepatocellular injury. She had positive antinuclear antibodies, and also smooth muscle antibodies. Her biopsy showed interface hepatitis, portal plasma cell infiltration, bridging fibrosis and lobular cholestasis, just as described in our reported case. She improved with prednisone and azathioprine regimen and her transaminases were normal over time [20].
Some authors have validated the use of the Council for International Organizations of Medical Sciences (CIOMS) scale to be used with herbal induced liver injury (HILI) cases. Although diagnosis of AIH is well founded in these patients, the CIOMS doesn't provide causality assessment [7,8,14]. The diagnosis of AIH alone is based on the characteristic and histological features as well as the absence of other liver diseases. The revised criteria for diagnosis of autoimmune hepatitis are considered gold standard [13,14]. Therefore, the diagnosis of DILI/HILI versus AIH triggered by HDS may be challenging [10,14]. Up to today, there is no diagnostic test that reliably differentiate drug/herbal induced liver disease from autoimmune hepatitis in the setting of acute hepatitis. In case of uncertainty, steroid therapy may help uncover the correct diagnosis: AIH will relapse after cessation of steroids and in DILI/HILI liver enzymes will stay normal if the drug/herb has been discontinued [11].
Histology provides type and degree of liver injury, rather than the etiology, [7,10,11,13] as noted in the presented case, in which we noticed histological characteristics of AIH, but also HILI/DILI. The patient progressed with worsening of liver enzymes despite discontinuation of the herb product and fulfilled diagnostic criteria for probable AIH, successfully responding to preconized specific therapeutics (prednisolone and azathioprine) [11,13]. Worsening of aminotransferases despite supplement suspension, histological findings and favorable response with corticosteroid treatment supported the hypothesis of AIH induced by the supplement used. Determining the autoimmune hepatitis trigger remains a challenge. This case highlights the potential risk of hepatic injury induced by self-medication with dietary supplements.
I would like to express my very great appreciation to Dr André Claudia Lyra for his valuable suggestions. My grateful thanks are also extended to Dr Igor Campos da Silva for anatomopathologicalreview; Dr Claudia Machado, Dr Camila Medrado and the medical students for their help in doing the literature revision data.
The authors have no conflicts or financial interests.
© 2018 Lourianne Nascimento Cavalcante, et al. This is an open access article distributed under the terms of the Creative Commons Attribution License , which permits unrestricted use, distribution, and build upon your work non-commercially.
a Creative Commons Attribution 4.0 International License. Based on a work at www.crimsonpublishers.com.
Best viewed in