Vassiliki Kardara, Oraianthi Fiste and Athanasios Karampeazis*
Department of Medical Oncology, 401 General Military Hospital of Athens, Greece
*Corresponding author: Athanasios Karampeazis, Department of Medical Oncology, 401 General Military Hospital of Athens, Greece
Submission: September 23, 2020;Published: October 09, 2020
ISSN 2637-7632Volume5 Issue2
Apart from representing relatively rare incidents, multiple primary malignancies pose, also, a therapeutic challenge. Treatment with anti-angiogenetic tyrosine kinase inhibitors have been proven to be effective in a variety of malignancies, including advanced renal cell and colorectal cancers. Herein, we report an interesting case of a 69-years-old male with renal cell carcinoma with pulmonary metastases and a synchronous localized colon cancer, who achieved significant responses to both cancers after firstline treatment with pazopanib and second-line treatment with axitinib. In the era of targeted therapies, angiogenesis inhibition may serve as an efficacious and well-tolerated therapeutic option in patients with coexisting colorectal and kidney tumors.
Keywords: Colorectal cancer; Renal cell carcinoma; Multiple primary malignancies; Tyrosine kinase inhibitors
Renal cell carcinoma (RCC) represents the vast majority of all primary renal malignancies, with an all-age incidence around 4.4 cases per 100,000 persons, for both sexes [1]. The simultaneous occurrence of RCC and colorectal carcinoma (CRC) is quite uncommon, with prevalence rates from 0.03 to 4.8% [2]. We present the rare case of an elderly male with metastatic RCC and a synchronous adenocarcinoma of the hepatic flexure of the colon, who responded to treatment with anti-angiogenic receptor tyrosine kinase inhibitors (TKIs).
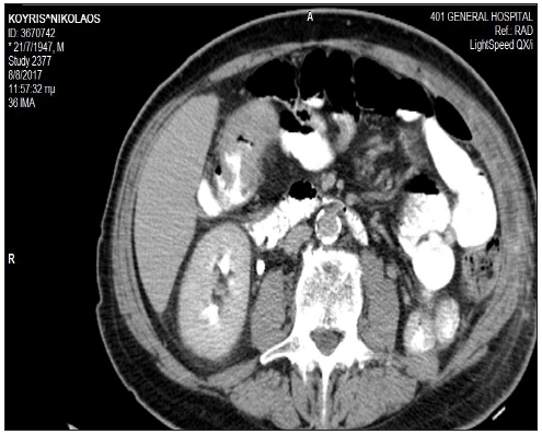
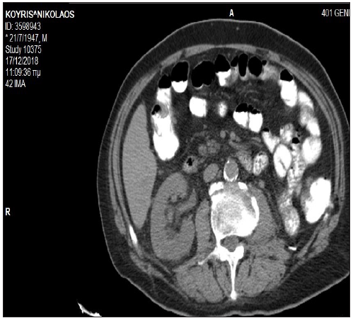
A 69 years-old male, smoker, with a past history of hypertension, depression, benign prostatic hyperplasia, and hypercholesterolemia, presented with macroscopic hematuria and weight loss. Computed tomography scans revealed a left renal mass, bilateral pulmonary nodules, and thickening of the hepatic flexure colon mass. Patient underwent a left nephrectomy and the histopathological examination confirmed the presence of a grade 3, pT3Nx, clear-cell carcinoma. Colonoscopy identified a mass in the transverse colon covering three quarters of the lumen and the histological report confirmed the presence of a moderately differentiated invasive colon adenocarcinoma (Figure 1). Post surgery CT scans revealed deterioration of the known pulmonary lesions and presence of a new left pleural effusion (Figure 2a) together with a hepatic flexure colon mass (Figure 2b). A CT-guided lung lesion biopsy was consistent with RCC metastatic disease. In view of the asymptomatic colon cancer and the rapidly imaging deterioration of the metastatic renal cancer, treatment with pazopanib commenced with acceptable toxicity and partial response of both the renal metastatic disease and the colonic primary tumor. After eight months of treatment, imaging tests revealed disease progression in the lung, while the colon mass was further responding. Second-line treatment with axitinib commenced and the restaging CT scans, after 10 months from initial diagnosis, were consistent with a new partial response of metastatic disease (Figure 3a & 3b), while a new colonoscopy revealed complete remission of the colon cancer. Treatment with axitinib continued for 5 months overall, with good tolerance. The patient presented brain and leptomeningeal metastatic disease with rapid clinical deterioration and succumbed 15 months after initial diagnosis.
Figure 1: Colonoscopy photo of transverse colon tumour.

Figure 2a: A baseline chest CT scan showing multiple bilateral lung lesions and a left pleural effusion.

Figure 2b: A chest CT scan after 10 months of treatment with TKIs showing partial remission of lung metastatic disease.

Figure 3a A baseline abdomen CT scan showing thickening of the transverse colon.

Figure 3b: An abdomen CT scan after 10 months of treatment with TKIs showing normal appearance of the transverse colon.

Multiple primary malignancies (MPMs) arising in different sites, with different histological characteristics, in the same individual are classified into (a) synchronous malignancies when they occur within a 6-month period, and (b) metachronous when they have been developed after the 6-month interval [3]. Despite being relatively rare, with an approximate frequency of 2.4- 8% in cancer populations, synchronous malignancies remain a therapeutic dilemma, since it is quite complicated to select the proper anticancer regimens for both cancers, in order to achieve optimal treatment benefit without increased toxicity. In addition, data regarding their therapeutic approaches depend mostly on published case reports and case series, given not only the exclusion of patients with MPMs from clinical trials, but also the absence of standard treatment guidelines [4].
In recent years, targeting angiogenesis has been the cornerstone of RCC treatment. Indeed, numerous TKIs have received United States Food and Drug Administration (FDA) approval in patients with advanced RCC, including sunitinib, sorafenib, pazopanib, axitinib, lenvatinib, and cabonzatinib. These are oral pharmaceutical drugs which inhibit the phosphorylation of the enzymes called receptor tyrosine kinases (RTKs), like the vascular endothelial growth factor receptor (VEGFR), the platelet-derived growth factor receptor (PDGFR), the fibroblast growth factor receptor (FGFR), and c-Kit, thus inducing anti-angiogenic and anti-proliferative effects [5]. In particular, pazopanib is a selective, second-generation, multikinase inhibitor of VEGFR-1, 2, 3, PDGFR-α, β, and c-Kit [6], whilst axitinib is a highly selective, second-generation TKI with specificity for VEGFRs 1-3 [7]. Blocking angiogenesis, through several mechanisms, has also been demonstrated effective in CRC patients; bevacizumab is an anti- vascular endothelial growth factor (VEGF) antibody, aflibercept is a soluble decoy receptor that binds VEGF-A, VEGF-B, and placental growth factor (PIGF), and ramucirumab is an anti-VEGFR antibody [8]. Currently, regorafenib is the sole FDA approved anti-angiogenic TKI for refractory metastatic CRC, whereas the activity of pazopanib and axitinib in patients with advanced CRC has been reported in various phase I-II clinical studies [9-17], thus warranting further evaluation. Our patient was diagnosed with concurrent metastatic RCC and localized CRC, and upon informed consent he received pazopanib as first-line treatment and axitinib upon disease progression, resulting in longlasting response for both diseases. As far as we are aware, this is the first case report highlighting the activity of these TKIs in those malignancies occurring concurrently.
The authors have no conflict of interest and no financial disclosure.
© 2020 Athanasios Karampeazis. This is an open access article distributed under the terms of the Creative Commons Attribution License , which permits unrestricted use, distribution, and build upon your work non-commercially.
a Creative Commons Attribution 4.0 International License. Based on a work at www.crimsonpublishers.com.
Best viewed in