; ?>
Ana Ribeiro1*, Rafael Brás2, Maria Lúcia M2, António Braga2 and Jorge Braga2
1Department of Obstetrics and Gynecology, Centro Hospitalar do Baixo Vouga, Aveiro, Portugal
2Department of Obstetrics and Gynecology, Centro Materno Infantil do Norte, Porto, Portugal
*Corresponding author: Ana Ribeiro, Department of Obstetrics and Gynecology, Centro Hospitalar do Baixo Vouga, Aveiro, Portugal
Submission: October 24, 2019;Published: December 9, 2019
ISSN: 2577-2015 Volume3 Issue3
Ovarian vein thrombosis (OVT) is a rare but potentially serious postpartum complication, which occurs in 0.05% to 0.18% of pregnancies and is diagnosed on the right side in 80% to 90% of the cases [1,2]. As OVT can mimic acute abdomen it should be considered in the differential diagnosis of postpartum acute abdomen [3]. We present a case of a 29-year-old female who presented a diffuse abdominal pain, fever and vomit on her third postpartum day. Her computed tomography demonstrated left ovarian vein repletion defect compatible with the presence of a thrombus. She was treated with enoxaparin and antibiotics, which lead to a resolution of the thrombus. Our case highlights the importance of prompt diagnosis and treatment of OVT in order to prevent morbidity and mortality.
Keywords:Ovarian vein thrombosis; Thrombosis; Anticoagulation; Postpartum 3.
Abbreviations: OVT: Ovarian Vein Thrombosis; CT: Computed Tomography
Ovarian vein thrombosis is a rare but potentially serious condition that affects mostly
postpartum women, but it may also be associated with a variety of pelvic conditions, such as
pelvic inflammatory disease, gynecological surgery, and malignancies [1]. Early recognition
and treatment of this condition is needed to avoid the morbidity and the mortality related
both to the thrombosis and to any associated infection or sepsis. OVT can occur in 0.02% to
0.18% of pregnancies, 80% to 90% occur in the right side [2]. This is believed to be due, in
part, to the dextrorotation of the enlarging uterus that commonly occurs during pregnancy,
which compresses the right ovarian vein and right ureter as they cross the pelvic rim [4]. The
usual clinical symptoms are pelvic or diffuse abdominal pain, fever and right-sided palpable
mass [5].
We present a case of a 29-year-old female who presented a diffuse abdominal pain, fever
and vomit on her third postpartum day. Her computed tomography (CT) demonstrated left
ovarian vein repletion defect compatible with the presence of a thrombus. She was treated
with enoxaparin and antibiotics, which lead to a resolution of the thrombus. Our case
highlights the importance of prompt diagnosis and treatment of OVT in order to prevent
morbidity and mortality.
29-year-old woman at three days postpartum of cesarean section complains of severe diffuse abdominal pain, fever, nausea and anorexia. Intestinal transit not reestablished, neither for gas. Her abdomen very distended, tympanized, with pain on superficial and deep palpation in all quadrants and missing bowel sounds. Pelvic examination showed an involuted uterus below the umbilical line. Normal mouthpieces, without smell. There was no evidence of deep vein thrombosis in the lower extremities. Laboratory exams revealed elevated white blood cell count (19000cel/mm3) with neutrophilia and elevated C reactive protein (289 mg/ dL). A transvaginal ultrasound was performed that showed a small amount of blood within the endometrial cavity and the abdominal ultrasound was unremarkable.
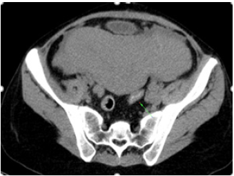
After excluding possible causes of acute abdomen, the patient underwent intravenous contrast-enhanced computed tomography (CT) that demonstrated left ovarian vein repletion defect compatible with the presence of a thrombus (Figure 1&2). Blood cultures were positive for Escherichia coli. The patient started treatment with enoxaparin and intravenous antibiotic therapy for 5 days. She was discharged on the 10th postpartum day. It was recommended to continue enoxaparin for at least three months, with outpatient follow-up with hematology.
Figure 1: Coronal Demonstrates (CT) an enlarged ovarian vein with central hypodensity, representing thrombosis (arrow).

Figure 2: Abdominal CT scan-arrow showing thrombosed right ovarian vein.

OVT is a rare condition, with a reported incidence of 0.002-
0.05% in pregnancies, being more common after cesarean section
[6,7]. Besides its association with pregnancy and puerperium,
pelvic inflammatory disease, malignancy and gynecological surgery
also represent risk factors [8,9]. In 70-90% of cases involves the
right side which was different from our reported clinical case. It is
hypothesized that OVT commonly occurs on the right side because
the right ovarian vein is longer than the left and it lacks competent
valves. The right ovarian vein enters the inferior vena cava at an
acute angle, which makes it more susceptible to compression
[10,11]. Furthermore, the dextrorotation of the enlarged uterus that
occurs in pregnancy can cause compression of the right ovarian vein
and the right ureter as they cross the pelvic rim, which causes stasis
of blood leading to thrombosis [10]. During the puerperium, there
is anterograde flow in the right ovarian vein as compared to the
retrograde flow in the left ovarian vein, which predisposes to rightsided
thrombosis. These facts are in accordance with the Virchow’s
triad of vessel wall injury, venous stasis and hypercoagulability that
ascribe the pathophysiology of OVT [8,12].
OVT prompt diagnosis is important to prevent morbidity and
mortality and should be considered in the clinic of pelvic or flank
pain, abdominal palpable mass, fever and elevated inflammatory
parameters [11].However these symptoms are also suggestive of
other diseases, such as appendicitis, pyelonephritis, urinary tract
infection, adnexal torsion, puerperal endometritis and tubo-ovarian
abscess which can delay the OVT diagnosis [13]. The diagnosis
is made based on the clinical features. Magnetic resonance
angiography has the highest sensitivity and specificity but CT scan
with intravenous contrast can also be used. Normally the CT scan
shows a thick-walled enlarged ovarian vein with rim enhancement
and central hypodensity [14,15].
The main complication is pulmonary embolism (25%) which
results in death in 5% of cases. So inf OVT is not diagnosed, the
disease could extend into the inferior vena cava or iliofemoral
vessels and lead to pulmonary embolization. Other complications
include ovarian abscess, ovarian infarction, uterine necrosis
and sepsis [16]. The recommended treatment is intravenous
antibiotic therapy and anticoagulation although there are no
specific guidelines for the duration of treatment [17,18]. In the case presented here, the patient presented as risk factors for VTE,
previous pregnancy and cesarean section.
OVT is a rare condition and can be associated with serious complications if left untreated. High index of suspicion is required for the prompt diagnosis and management especially in cases that mimic acute abdomen.
© 2019 Ana Ribeiro. This is an open access article distributed under the terms of the Creative Commons Attribution License , which permits unrestricted use, distribution, and build upon your work non-commercially.
a Creative Commons Attribution 4.0 International License. Based on a work at www.crimsonpublishers.com.
Best viewed in