Zahra Basirat1*, Fatemeh Basirat1, Masomeh Bayani2, Reza Sohrabnejad3 and Masoumeh Golsorkhtabaramiri1
1Infertility and Reproductive Health Research Center, Babol University of Medical Science, Iran
2Infectious Diseases and Tropical Medicine Research Center, Babol University of Medical Sciences, Iran
3Mobility Impairment Research, Health Research Institute, Babol University of Medical Sciences, Iran
*Corresponding author: Zahra Basirat, Infertility and Reproductive Health Research Center, Babol University of Medical Sciences, Iran
Submission: May 24, 2021;Published: June 04, 2021
ISSN: 2577-2015 Volume4 Issue2
Herpes Simplex Encephalitis (HSE) is life-threatening viral encephalitis in pregnancy that significantly associated with poor outcomes in mother and infant. A 22-year-old 25 weeks pregnant woman presented with fever and seizure that was suspected to HSE. At first, MRI and Lumbar Puncture (LP) helped in the diagnosis, and however the PCR test confirmed HSE. What is interesting about this case is that the patient had no positive history of HSV before her pregnancy. From her hospital stay to confirming the lab test, she developed progressively worsening despite treating with early administration of acyclovir. Finally, she was successfully treated. No physical or psychological consequences remained. Later, she delivered via cesarean section and gave birth to a healthy infant. As soon as the HSE is suspected in pregnancy, the onset of early antiviral therapy reduces physical and psychosocial consequences.
Keywords: Encephalitis; Herpes simplex; Acyclovir; Pregnancy; Seizures; Temporal lobe
HSV Encephalitis (HSE) is only about 2-4 patient/1,000,000 worldwide [1]. Unfortunately, the majority of HSV seropositivity are young women in reproductive age [2]. An infected mother maybe suffers from severe clinical presentation of HSV diffused infection during pregnancy. If it left untreated in pregnancy, the mortality rate estimates over 70%. Also, 97% of life-threatening neurological sequelae remain for survivors [3]. There is relatively high morbidity and mortality in herpes of neonates. 85% of neonatal HSV infection transmit in the peripartum and intrapartum period and 10% is postnatal [4,5]. In this report, we describe a pregnant woman with a diagnosis of HSV encephalitis and her treatment. What is interesting about this case is that our expectant mother had no positive history of HSV before her pregnancy.
A 22-year-old pregnant at 25 weeks’ gestation was admitted in the maternity unit with a history of the first generalized seizure and 5 hours of persistent fever. On admission, she was conscious with body temperature 38.5 °C, BP was normal, pulse rate=110 and respiratory rate=18 beat/min). Also, fetal heart activity was normal (154 beat/min). The patient did not give a prior history of skin vesicular lesions in pregnancy. Also, no head trauma or recent travel was reported. The physical exam did not show oral or perioral, skin and mucous membrane lesions in the whole body. Emergency laboratory tests were as follows: White Cells Count (WCC) 16400/L, HB=9.6g/dl, PLT=240000/μl, ESR= 20mm/hr, CRP= 2mg/L. Liver Function Test was normal (LFT) and proteinuria was absent. Gestational ultrasonography showed fetal heart rate and amniotic fluid were normal and also the patient was 25-26 weeks pregnant.
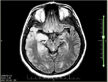
Gradually, her level of mental status started to impair. She occasionally showed symptoms of seizure, confusion, drowsiness and blurred vision and her fever continued as well. Antiepileptic medicine (Phenytoin) was promptly started to abort seizure. Neurology and infectious consultation were requested. Urgent Computerized
Tomography scan (CT) was normal; however Magnetic Resonance
Imaging (MRI) was shown hyperintensity in the temporal lobe
(Figure 1). Lumbar Puncture (LP) was performed, and the
finding were: WBC=450/mm3, RBC=650/mm3, Lymph=80%,
glucose=60mg/dL and Protein=75mg/dL. Diagnosis of viral
meningoencephalitis strongly raised. Acyclovir was administrated
and the patient was transferred to ICU for extensive care. Besides,
Ceftriaxone and Vancomycin were started. In the following days,
PCR revealed HSV-1 quantitative in Cerebrospinal Fluid (CSF) and
given that MRI showed hyperintensity region in the temporal lobe
as well, antibiotic therapy ceased, and Acyclovir and Phenytoin
continued. As fever and seizure continued occasionally despite
treatment, phenobarbital and leveled also added.
Figure 1: Temporal lobe hyperintensity in patient with Herpes Simplex Virus type-1 encephalitis.

Other related work up such as echocardiography, abdominal ultrasonography and, obstetrical monitoring, checking the profiles of complement in Anti Phospholipid Syndrome (APS), HBS Ag, HPV, Anti HCV, HIV (I, II) tests were performed, and the results demonstrated normal. All medications continued for 12 days, and the fever and seizure were ceased gradually. The repeated PCR of CSF became negative, hence acyclovir ceased, and Phenobarbital and Level tapered. Her general condition gradually improved. She gave birth to a normal- weight healthy baby at the full term. She was monitored for the following 6 months and no neurologic consequence was seen in mother and her infant.
HSV-1 demonstrates primary common presentation including
flu-like facial, vaginal or rectal vesicles -sores in pregnancy. Our case
also did not give a history of typical cold-sores presentation. More
specifically, HSE highly suspicious clinical presentation includes
fever, generalized or focal seizures, clouding of consciousness,
respiratory distress and, visual disorders [6]. The majority of the
mentioned symptoms are seen in other gestational problems like
eclampsia that may occasionally a reason of misdiagnosing and the
clinicians need to rule out them. Fortunately, our patient presented
without hypertension and proteinuria, and we easily rule out
preeclampsia.
As the fever is a usual symptom, the febrile patients with
symptoms suggesting HSE less likely to seek treatment than those
with severe symptoms such as seizure [6]. Our patient came at
the onset of the illness because she experienced fever associated
with a seizure at the early hours. Except clinically evidence, HSE
diagnosis needs paraclinical tools such as MRI that present a
maximum sensitive and specific neuroimaging document. Usually,
as soon as the HSE clinical presentation occur, MRI show edema or
hypersignal changes in the temporal lobe [7]. Regarding detected
hyperintensity in our patient’s temporal lobe and 80% Lymph in
the CSF, a high degree of clinical suspicion for herpes encephalitis
raised. If the patients with HSE receive antiviral therapy as soon as
the HSE suspected, the mortality and morbidity reduce. With early
administration of acyclovir, the Case-Fatality Ratio (CFR) decreases
50% and also sequelae in the survivors less reported. Most clinicians
suggested that antiviral therapy should be initiated even prior to
the PCR confirmation result [8]. According to the above facts, we
decided to start an antiviral medication before receiving PCR result
in order not to lose chance of treating. PCR with sensitivity 96%
and specificity 95% present as the diagnostic test of choice for HSV
[9]. However, a laboratory may take nearly a week to prepare the
PCR test result for HSV (from the patient’ CSF). Taking together,
plenty of paraclinical processes to differentiate all other possible
diseases may delay confirmation of the true diagnosis. In the lifethreatening
cases, the prompt decision for the onset of treatment
may be enviably begins according to professional experience as
well as available evidenced-based data.
Morbidity in affected HSV with or without skin involvement
is not uncommon, especially if left untreated. Even following
treatment, patients present sequels like dysphasia, amnesia and, and behavioral disorder and need neuropsychological
rehabilitation [6,7]. Fortunately, our patient did not show any
neurologic sequelae during the remained months of pregnancy and
postpartum following aborting treatment. At 6 month post-delivery
follow up, mother and her baby were in good health.
Urgent investigation, early diagnostic, prompt antiviral and anticonvulsive therapy is pivotal to alleviate mortality and morbidity in pregnant women suspicion to HSE.
We hereby thank the patient for her cordially cooperation in the follow up.
© 2021 Zahra Basirat. This is an open access article distributed under the terms of the Creative Commons Attribution License , which permits unrestricted use, distribution, and build upon your work non-commercially.
a Creative Commons Attribution 4.0 International License. Based on a work at www.crimsonpublishers.com.
Best viewed in