Sadeghi P1*, Mousavi Torshizi M1 and Shabani Mirzaee H2
1Assitant Professor of Pediatric Rheumatology, Department of Pediatrics, Tehran University of Medical Sciences, Iran
2Assistant Professor of Pediatric Endocrinology, Pediatric endocrinology department, Bahrami children’s Hospital, Tehran University of Medical Sciences, Iran
*Corresponding author: Sadeghi P, Assitant Professor of Pediatric Rheumatology, Department of Pediatrics, Tehran University of Medical Sciences, Iran
Submission: March 25, 2021; Published: May 12, 2021
ISSN: 2577-9200 Volume5 Issue4
Familial Glucocorticoid Deficiency (FGD) is a rare autosomal-recessive disease. Tall stature and advanced bone age have been reported among clinical symptoms. This is a report of a 5 year-old girl who was admitted to the Rheumatology Ward of Bahrami Children’s Hospital for prolonged hallux valgus and lateral deviation of the hand fingers. Physical examination showed generalized hyperpigmentation and tall stature and the patient was in the pre-pubertal stage. The cortisol level was lower than normal while the ACTH level was above the normal limits. A hand X-ray showed a bone age of 9 years and 6 months .Whole exome sequencing revealed homozygous mutation of the MC2R gene . Endocrine disorders should be considered in cases with uncommon childhood skeletal manifestations.
Keywords: Hallux Valgus; Hyperpigmentation; Tall stature; Glucocorticoid deficiency
Hallux valgus, also known as juvenile or adolescent bunion, metatarsus primus varus, and metatarsus primus adductus, is an uncommon deformity in children .There is no precise definition for pediatric hallux valgus. Some experts consider the time of epiphyseal closure and some others consider the age of 20 as a limit for pediatric patients. Cosmetic problems are usually the main complaint but pain could occasionally be the presenting symptom [1]. Glucocorticoid deficiency can be caused by deficiency in different levels of the hypothalamus-pituitary-adrenal axis. Hypoglycemia, hypoglycemic convulsions, and growth disturbances are common manifestations. Primary adrenal insufficiency should be suspected when there is hyperpigmentation .One of these conditions is the Adrenocorticotropic Hormone (ACTH) receptor gene (or melanocortin 2 receptor as MC2R mutation), which results in Familial Glucocorticoid Deficiency (FGD).Most of these patients have normal levels of mineralocorticoids ; therefore, no electrolyte disturbances could be found except for hypoglycemia [2-4]. There are several reports of tall stature although the exact cause is not clear [3-6]. This is a case report of a pediatric patient with FGD that presented with hallux valgus and lateral deviation of hand fingers.
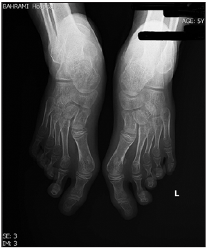
A 5-year-old girl was admitted to the Rheumatology Ward of Bahrami Children’s Hospital affiliated with Tehran University of Medical Sciences with prolonged hallux valgus since one year ago and pain in the first toe (Figure 1). Family and drug history were negative. Her weight and height were 30kg and 135cm, which were above the 95th percentile for age. Physical examination showed generalized hyperpigmentation, hallux valgus, and lateral deviation of hand fingers. The patient was in the pre-pubertal stage .The accelerated growth rate along with skeletal deformity and hyperpigmentation raised suspicion for an endocrine disturbance .Therefore, endocrine consultation was requested to evaluate the adrenal function by measuring ACTH, cortisol, TSH (Thyroid-Stimulating Hormone), and 25 (OH) vitamin D. The cortisol level was lower than normal while the ACTH level was well above the normal limits .Laboratory findings are summarized in Table 1. A hands and feet X-ray showed decreased density of the metacarpal bones as well as lateral deviation of the fingers (bone age=9 years and 6 months) (Figures 2 & 3). Whole exome sequencing revealed homozygous mutation of MC2R gene. The diagnosis was made and she was treated with hydrocortisone [3,4]. She was followed up by a pediatrician and her growth rate, ACTH, and FBS (Fasting Blood Sugar) were observed.
Figure 1:lateral deviation of both big toes in a 5-year old girl.

Table 1: Laboratory findings.

Figure 2:Bilateral Feet-Xray of the case.

Figure 3: Wrists and hands X-ray of the case.

Different etiologies have been described for hallux valgus, including biomechanical, traumatic, and metabolic/skeletal abnormalities such as Marfan syndrome and Ehlers-Danlos syndrome. Since this is an uncommon abnormality in pediatric patients, secondary causes should be investigated. FGD is one of the differential diagnoses of adrenal failure based on clinical findings, low serum cortisol levels, and elevated ACTH levels along with normal production of mineralocorticoids [4,5]. In most cases, the first presentation is skin and mucosal membrane hyperpigmentation [2-5]. Our case had hyperpigmentation but it was insignificant to her parents. Some FGD cases are unusually tall (some are two standard deviations above normal) [3-6]. Our case was above the 95th percentile for age ,which confirms the findings of previous studies .The cases with missense or nonsense mutations of the ACTH receptor (MC2R) show growth reduction after glucocorticoid replacement [3].
Some FGD cases have an advanced bone age and discordant bone maturation of the hand .The bone age of our case was more advanced than her biological age .The exact cause of excessive growth is not clear ;however, high serum levels of ACTH are suppressed after glucocorticoid therapy in these subjects [6]. FGD cases with MC2R mutation have a tall stature while the stature is normal in non-mutated cases [3]. Most cases respond to glucocorticoid replacement therapy , indicating the role of ACTH in excessive growth. There is no evidence of excessive activation of the GH-IGF-I axis and the cartilage and /or bone growth abnormalities may depend on ACTH action through other melanocortin receptors [6].This may explain the relationship between hallux valgus and FGD.A significant finding in our case was skeletal deformity (hallux valgus), which was not reported in FGD patients in previous studies.
MC2R (melanocortin-2 receptor) is a seven-transmembrane G protein-coupled receptor that binds to its ligand, ACTH, at the cell surface. This protein is encoded by a gene on chromosome 18p11.2. Mutations in this receptor (OMIM_607397) were discovered in 1993 in two siblings with FGD who had a homozygous base change causing amino acid substitution p.S74I [7,8]. Since then more than 40 pathogenic MC2R mutations have been reported across the world . Mutations in this receptor cause failure of the ACTH signaling pathway due to ineffective ligand binding and signal transduction or failure of receptor trafficking to the cell surface [9]. The pattern of inheritance is autosomal recessive. Our case had a homozygous variant defined as c.424G>T in exon two of the MC2R gene confirmed by whole exome sequencing.
In cases with skeletal manifestations, especially uncommon pediatric manifestations, a careful physical examination is very important to find other signs .These additional findings could help the physicians choose appropriate diagnostic tests and reach the final diagnosis .As in our case, endocrinology evaluation is also recommended.
© 2021 Sadeghi P. This is an open access article distributed under the terms of the Creative Commons Attribution License , which permits unrestricted use, distribution, and build upon your work non-commercially.
a Creative Commons Attribution 4.0 International License. Based on a work at www.crimsonpublishers.com.
Best viewed in